Sponsor

Recent

Entradas recientes

LA LUCHA POR EL FUTURO

LA LUCHA POR EL FUTURO

El gran instrumento de la dominación y la explotación se llama capitalismo, y su declive no ocurre …

NUEVOS MICROCHIPS MUEVEN IONES COMO SINAPSIS EN EL CEREBRO HUMANO

NUEVOS MICROCHIPS MUEVEN IONES COMO SINAPSIS EN EL CEREBRO HUMANO

Informática neuromórfica Los circuitos líquidos permitirán a los ordenadores que procesen informaci…

DESPIDOS Y POBREZA: EL PAÍS DE LOS MISERABLES

DESPIDOS Y POBREZA: EL PAÍS DE LOS MISERABLES

Viven como épica histórica, su cruzada feroz por la demolición del Estado y la entronización del in…

ARRANCA LA BÚSQUEDA DE LAS PARTÍCULAS FANTASMA DEL UNIVERSO

ARRANCA LA BÚSQUEDA DE LAS PARTÍCULAS FANTASMA DEL UNIVERSO

Física fundamental Nos llevarán a la ciencia fundamental situada más allá del modelo estándar El un…

"LA OTAN UTILIZA LAS ORGANIZACIONES TERRORISTAS EN SU PROPIO INTERÉS"

"LA OTAN UTILIZA LAS ORGANIZACIONES TERRORISTAS EN SU PROPIO INTERÉS"

El secretario del Consejo de Seguridad ruso, Nikolái Pátrushev, subrayó que durante los 75 años de …

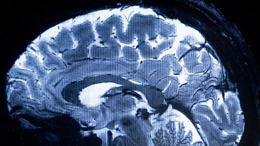
PRIMERAS IMÁGENES DEL ESCÁNER DE RESONANCIA MAGNÉTICA MÁS POTENTE DEL MUNDO

PRIMERAS IMÁGENES DEL ESCÁNER DE RESONANCIA MAGNÉTICA MÁS POTENTE DEL MUNDO

Escáner de resonancia magnética más potente del mundo muestra primeras imágenes del cerebro humano …

EL “EJE DE LA RESISTENCIA” DEL SAHEL

EL “EJE DE LA RESISTENCIA” DEL SAHEL

El Sahel africano se está rebelando contra el neocolonialismo occidental:   expulsando tropas y bas…

LOS NEUTRINOS SE MUEVEN EN LÍNEA RECTA

LOS NEUTRINOS SE MUEVEN EN LÍNEA RECTA

LAS CIENTÍFICAS RESPONDEN ¿Los neutrinos se mueven en línea recta? Estas partículas se mueven a tra…

LO MÁS VISTO

COP30: NUEVA OPORTUNIDAD PARA UN MUNDO EN CRISIS

Las naciones y sus gobiernos tienen una nueva oportunidad para comprometerse efectivamente a la adopción de medidas ya no paliativas, sino integrales que propicien condiciones para una efectiva transición energética, una cooperación internacional justa  Mario Patrón jornada.com.mx 13/11/2025 El pasado lunes 10 de noviembre dio inicio la 30 Conferencia de Naciones Unidas sobre Cambio Climático (COP30) en la ciudad de Belém, Brasil, con la presencia de representantes de más de 190 países. Como ocurre en cada edición, la mirada del mundo –especialmente de activistas climáticos y defensores del territorio– se enfoca en esta reunión diplomática que año con año despierta expectativas que poco se traducen en resultados. Esta edición número 30 se lleva a cabo en un panorama internacional complejizado por las posturas de diversos líderes mundiales, principalmente Donald Trump, quienes no sólo han dado la espalda a los compromisos medioambientales previamente asumidos por sus naciones, sino ...

INQUIETUD EN EL CARIBE

EL CARIBE SE ENFRENTA A DOS OPCIONES: UNIRSE AL INTENTO DE LOS ESTADOS UNIDOS DE INTIMIDAR A VENEZUELA O CONSTRUIR SU PROPIA SOBERANÍA Vijay Prashad elviejotopo.com 2 diciembre, 2025  El presidente de los Estados Unidos, Donald Trump, ha autorizado la entrada del USS Gerald R. Ford en el Caribe. Ahora se encuentra al norte de Puerto Rico, uniéndose al USS Iwo Jima y a otros activos de la Armada de los Estados Unidos para amenazar a Venezuela con un ataque. La tensión es alta en el Caribe, con diversas teorías sobre la posibilidad de lo que parece ser un asalto inevitable por parte de los Estados Unidos y sobre la catástrofe social que tal ataque ocasionaría. La CARICOM, el organismo regional de los países del Caribe, emitió un comunicado en el que afirmaba su opinión de que la región debe ser una “zona de paz” y que las disputas deben resolverse de forma pacífica. Diez exjefes de Gobierno de los Estados del Caribe publicaron una carta en la que exigían que “nuestra región n...

EMANCIPACIÓN N° 1015

LEER REVISTA N° 1015 DIRECTAMENTE Leer en Línea:  https://n9.cl/iht3a5 DESCARGAR REVISTA 1015 :  https://n9.cl/pi0mf VISITE BIBLIOTECA EMANCIPACIÓN LEER Y COPIAR EN LÍNEA DIRECTAMENTE: https://bibliotecaemancipacion.blogspot.com/ DESCARGUE 25 LIBROS EN PDF CON CADA ENTREGA HACIENDO CLIC EN CADA TÍTULO ANTES QUE PIERDA EL ENLACE NO OLVIDE DESCOMPRIMIR LOS ARCHIVOS LIBROS  14476  A  14500  14476 El Rostro Del ‘Estado Profundo’ Y Blackrock. Salazar Pérez, Robinson. Emancipación. Noviembre 15 de 2025 14477 El Tercer Ayudante. Símonov, Konstantin M. Emancipación. Noviembre 15 de 2025 14478 Pietri. Grin, Elmar. Emancipación. Noviembre 15 de 2025 14479 El Peso De Los Caídos. Platonov, Andréi. Emancipación. Noviembre 15 de 2025 14480 Los Cuchillos. Petróvich Katáiev, Valentin. Emancipación. Noviembre 15 de 2025 14481 Por Todo Lo Grande. Ilf, Iliá Y Petrov, Evgueni. Emancipación. Noviembre 15 de 2025 14482 Un Conocido. Karaváieva, Ana Alexándrovna. Emancipació...

EMANCIPACIÓN N° 1016

LEER REVISTA N° 1016 DIRECTAMENTE Leer en Línea :  https://n9.cl/qcq56 *** DESCARGAR REVISTA 1016:   https://n9.cl/axoh5 VISITE BIBLIOTECA EMANCIPACIÓN LEER Y COPIAR EN LÍNEA DIRECTAMENTE: https://bibliotecaemancipacion.blogspot.com/ DESCARGUE 25 LIBROS EN PDF CON CADA ENTREGA HACIENDO CLIC EN CADA TÍTULO ANTES QUE PIERDA EL ENLACE NO OLVIDE DESCOMPRIMIR LOS ARCHIVOS LIBROS 14501  A  14525 14501 En Peligro En El Mar. Hainsselin, Montague T. Emancipación. Noviembre 22 de 2025 14502 Vida De John Brown. Gold, Michael. Emancipación. Noviembre 22 de 2025 14503 En Torno Al Carácter Específico De La Literatura. Nikolaieva, Galina. Emancipación. Noviembre 22 de 2025 14504 El Método Orteguiano De Las Generaciones Y Las Leyes Objetivas Del Desarrollo Histórico. Federico Sánchez [Jorge Semprún Maura]. Emancipación. Noviembre 22 de 2025 14505 El Mundo Hundido. Coblentz, Stanton A. Emancipación. Noviembre 22 de 2025 14506 Papeles De Política 1999-2025. Pérez Pirela, Miguel Á...

EMANCIPACIÓN N° 1014

LEER REVISTA N° 1014 DIRECTAMENTE Leer en Línea:  https://n9.cl/ljea50 Descargar Revista   VISITE BIBLIOTECA EMANCIPACIÓN LEER Y COPIAR EN LÍNEA DIRECTAMENTE: https://bibliotecaemancipacion.blogspot.com/ DESCARGUE 25 LIBROS EN PDF CON CADA ENTREGA HACIENDO CLIC EN CADA TÍTULO ANTES QUE PIERDA EL ENLACE NO OLVIDE DESCOMPRIMIR LOS ARCHIVOS LIBROS 14451 A 14475 14451 El Auge Y La Caída De La Globalización. Schiffers, Steve. Emancipación. Noviembre 8 de 2025 14452 Capitalismo Y Guerras Sin Fin. Prakash, Sona. Emancipación. Noviembre 8 de 2025 14453 Historia De Japón. Walker, Brett L. Emancipación. Noviembre 8 de 2025 14454 La Riada. Blackwater – 1. McDowell, Michael. Emancipación. Noviembre 8 de 2025 14455 El Dique. Blackwater – 2. McDowell, Michael. Emancipación. Noviembre 8 de 2025 14456 Delitos Financieros Y Corrupción. Vaknin, Samuel. Emancipación. Noviembre 8 de 2025 14457 Historia De La Moneda, 1252 A 1896. Shaw, William Arthur. Emancipación. Noviembre 8 de 2025 14458...

ENTRADA DESTACADA

EL DÓLAR, LOS BRICS Y EL NUEVO SISTEMA FINANCIERO POR CONSTRUIR

EL DÓLAR, LOS BRICS Y EL NUEVO SISTEMA FINANCIERO POR CONSTRUIR

El avance de la desdolarización y la incertidumbre de los mercados occidentales han creado una situ…

Biblioteca Emancipación