“Esperamos que, al identificar este circuito específico, podamos desarrollar terapias más dirigidas y eficaces, sin efectos secundarios negativos”, señala el estudio
Imagen: https://www.beautymarket.es/imagen/min15121.jpg
Juan Scaliter
larazon.es/17.04.2026 09:52
La OMS considera la obesidad como la epidemia mundial no infecciosa del siglo XXI, con cifras que se han duplicado en adultos y cuadruplicado en adolescentes desde 1990. No es extraño que, en este contexto, se intenten comprender mejor todos los mecanismos involucrados en ella.
Y ahora, un equipo de científicos de la Universidad de Oklahoma ha descubierto cómo una hormona natural puede revertir la obesidad en ratones, y la respuesta reside en el cerebro. El equipo, liderado por Matthew Potthoff, descubrió que la hormona actúa enviando señales a una región cerebral que ayuda a controlar el metabolismo y el apetito. Esta es la misma área a la que se dirigen los fármacos para la pérdida de peso GLP-1, ampliamente utilizados. Las conclusiones se han publicado en Cell Reports.

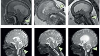
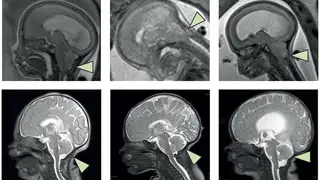
La flecha señala el rombencéfalo, la región del cerebro vinculada a la hormonaThe LancetThe Lancet
La hormona, conocida como FGF21 (factor de crecimiento de fibroblastos 21), ya ha despertado interés como posible objetivo para nuevas terapias y actualmente se está probando en ensayos clínicos fármacos diseñados para actuar sobre esta vía para la esteatohepatitis asociada a disfunción metabólica (MASH), una forma grave de enfermedad del hígado graso. El equipo de Potthoff se centró en comprender cómo la FGF21 produce sus efectos. Sus resultados muestran que la hormona actúa a través del rombencéfalo, ubicado en la parte inferior posterior del cerebro.
“En nuestros estudios previos, habíamos observado que el FGF21 envía señales al cerebro en lugar de al hígado, pero desconocíamos su ubicación exacta - explica Potthoff en un comunicado -. Pensábamos que enviaría señales al hipotálamo (que participa activamente en la regulación del peso corporal), por lo que nos sorprendió descubrir que la señal se dirigía al rombencéfalo, donde se cree que actúan los análogos del GLP-1”.
Más específicamente, el FGF21 interactúa con dos partes del rombencéfalo: el núcleo del tracto solitario (NTS) y el área postrema (AP). Estas regiones se comunican con otra estructura cerebral conocida como núcleo parabraquial. Esta cadena de señalización es esencial para que la hormona pueda influir en el metabolismo y reducir el peso corporal.
“Este circuito cerebral parece mediar los efectos del FGF21 - añade Potthoff -. Esperamos que, al identificar este circuito específico, podamos desarrollar terapias más dirigidas y eficaces, sin efectos secundarios negativos. Los análogos del FGF21 tienen efectos secundarios como problemas gastrointestinales y, en algunos casos, pérdida ósea”.
Eso sí, aunque el FGF21 y los fármacos GLP-1 afectan áreas similares del cerebro, actúan de maneras muy diferentes. Mientras los medicamentos GLP-1 reducen el apetito, el FGF21 aumenta la actividad metabólica, lo que ayuda al cuerpo a quemar más energía y perder peso.
Potthoff y su equipo se muestran optimistas ante la posibilidad de que esta investigación conduzca a nuevos tratamientos tanto para la obesidad como para el síndrome de hiperemesis gravídica (SHG). “Si bien este estudio se centró en el mecanismo del FGF21 para reducir el peso corporal, se necesitan estudios adicionales para determinar si este circuito también media la capacidad del FGF21 y sus análogos para revertir el SHG”, concluye el estudio.
__________
Fuente:
